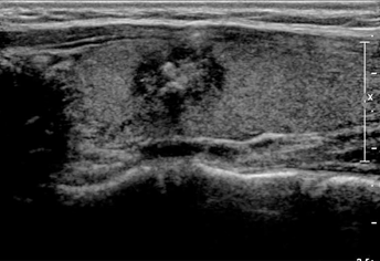
°©»ó¼± Á¶Á÷°Ë»ç
°©»ó¼±¾ÏÀÇ Áø´Ü¿¡ ÀÖ¾î¼ °¡Àå Áß¿äÇÑ °Ë»ç´Â ¹Ì¼¼Ä§ÈíÀμ¼Æ÷°Ë»çÀÔ´Ï´Ù.
°©»ó¼±¿¡ °áÀý(Ȥ)ÀÌ ÀÖ´Â °æ¿ì À̰ÍÀÌ ¾Ç¼º(¾Ï)ÀÎÁö ¾Æ´ÑÁö¸¦ È®ÀÎÇϱâ À§ÇØ ¹Ì¼¼¼¼Ä§ÈíÀμ¼Æ÷°Ë»ç°¡ ÀÏÂ÷ÀûÀ¸·Î ½ÃÇàµË´Ï´Ù.
¼¼Æ÷°Ë»ç·Î ÆÇ´ÜÀÌ ¹ÌÈíÇÏ´Ù°í »ý°¢µÇ¸é Á¶Á÷°Ë»çÀÇ ¹æ¹ýÀ» »ç¿ëÇÕ´Ï´Ù.
Á¶Á÷°Ë»ç ¹æ¹ý
¼¼Ä§ÈíÀÎ ¼¼Æ÷°Ë»ç
°©»ó¼± ¼¼Æ÷ °Ë»ç´Â °¡´À´Ù¶õ ÁÖ»ç¹Ù´ÃÀ» ÀÌ¿ëÇØ¼¼Æ÷¸¦ ÈíÀÎÇÑ ÈÄ ¿°»öÇÏ¿© Çö¹Ì°æÀ¸·Î °üÂûÇÏ´Â °Ë»çÀÔ´Ï´Ù.
ÃæºÐÇÑ ¾çÀÇ ¼¼Æ÷¸¦ ÈíÀÎÇØ °Ë»çÇÏ¸é °áÀýÀÌ ¾ç¼ºÀÎÁö ¾Ç¼ºÀÎÁö¸¦ °¨º°ÇÒ ¼ö ÀÖ½À´Ï´Ù.
¼¼Æ÷°Ë»ç·Î È®½ÇÇÑ Áø´ÜÀ» ³»¸± ¼ö ¾øÀ» ¶§´Â Á¶Á÷ °Ë»ç¸¦ ÇÕ´Ï´Ù. ´ë°³ ¼¼Æ÷°Ë»ç¸¸À¸·Î 95% Á¤µµ¿¡´Â ¾ÏÀÎÁö ¿©ºÎ¸¦ È®½ÇÈ÷ °¡¸± ¼ö ÀÖ½À´Ï´Ù.
¸Å¿ì ¾ÈÀüÇÑ °Ë»çÀÌÁö¸¸ Æò¼Ò ½±°Ô ÃâÇ÷ÀÌ µÇ´Â °æÇâÀÌ Àְųª ¾Æ½ºÇǸ°Ã³·³ ÇǸ¦ Àß ¸ÜÁö ¾Ê°Ô ÇÏ´Â ¾àÀ» º¹¿ëÇϰí ÀÖ´Ù¸é °£È¤ ½Ã¼ú ÁßÀ̳ª ÈÄ¿¡ ÃâÇ÷ÀÌ ÀÖÀ» ¼ö ÀÖÀ¸¹Ç·Î °Ë»ç Àü¿¡ ´ã´çÀÇ»ç¿Í »óÀÇÇÏ¿©¾ß ÇÕ´Ï´Ù.
ÃÑÁ¶Á÷°Ë»ç
°©»ó¼±ÀÇ ¼¼Ä§ÈíÀÎ °Ë»ç·Î Á¶Á÷ÀÇ ¼º»óÀ» Á¤È®ÇÏ°Ô ÆÄ¾ÇÇϱ⠾î·Á¿î ¿©Æ÷¼º Á¾±«³ª, µüµüÇØ¼ ¼¼Æ÷ÀÇ ÈíÀÎÀÌ ¾î·Á¿î Á¾±«´Â Á¶Á÷°Ë»ç ¹æ¹ýÀ» ÀÌ¿ëÇÕ´Ï´Ù.
Ư¼ö ¹Ù´ÃÀ» »ðÀÔÇÏ¿© Á¶Á÷ÀýÆíÀ» äÃëÇϴµ¥ ȤÀÇ Å©±â¿¡ µû¶ó 2¹ø ~ 5¹ø±îÁöµµ ÇÒ ¼ö ÀÖ½À´Ï´Ù.
¼¼Ä§ÈíÀκ¸´Ù ´õ Á¤È®ÇÑ Áø´ÜÀ» ³»¸± ¼ö ÀÖÀ¸¸ç ¹Ù´ÃÀÌ µé¾î°¥ Á¤µµÀÇ »óó¸¸À» ³²±â±â¿¡ ÈäÅͰ¡ »ý±âÁö ¾ÊÀ¸¸ç Àý°³ÇÏ¿© Á¶Á÷ °Ë»çÇÏ´Â ¹æ¹ý°ú ºñ±³ÇÏ¿©µµ Á¤È®µµ°¡ ¶³¾îÁöÁö ¾Ê´Â °í³À̵µÀÇ Á¶Á÷°Ë»ç ¹æ¹ýÀÔ´Ï´Ù.
¾ãÀº º¼Ææ½É ±½±âÀÇ ¹Ù´Ã·Î »ý°¢º¸´Ù ¹Ù´ÃÀÌ ±½±â ¶§¹®¿¡ ±¹¼Ò¸¶Ã븦 ¸ÕÀú ÇÑ µÚ¿¡ °Ë»ç¸¦ ½ÃÇàÇØ¾ß Çϸç, »ç¿ëÇÏ´Â ±â±¸°¡ ÀÏȸ¿ëÀ̱⿡ ºñ¿ëÀÌ ´õ µç´Ù´Â °Í°ú ÃâÇ÷ÀÌ Á» ´õ ¸¹°í, °Ë»ç ÈÄ ÅëÁõÀÌ ¿À·¡°£´Ù´Â ´ÜÁ¡ÀÌ ÀÖ½À´Ï´Ù.
TSK
ÀúÈñ ¼³¿©¼ºÀÇ¿ø¿¡¼´Â °©»ó¼± Á¶Á÷°Ë»ç½Ã TSK ÀÏȸ¿ë ¹Ù´ÃÀ» »ç¿ëÇÕ´Ï´Ù.
Àü ¼¼°èÀûÀ¸·Î ¾ÈÁ¤¼º°ú °á°úÀÇ Á¤È®µµ¸¦ ÀÎÁ¤¹ÞÀº TSK¹Ù´ÃÀº ´ëÇк´¿øÀº ¹°·Ð Àü ¼¼°èÀûÀ¸·Îµµ »ç¿ëµÇ°í ÀÖ½À´Ï´Ù.
ÇÑ ¹ø »ç¿ëÇÏ°í ¹Ù·Î Æó±âÇϰí Àֱ⠶§¹®¿¡ °¨¿° °ÆÁ¤ ¾øÀÌ ¾È½ÉÇÏ°í °Ë»ç ¹ÞÀ¸¼Åµµ µË´Ï´Ù.
°©»ó¼± Á¾¾çÀÇ ¼º»ó
¾ç¼ºÁ¾¾ç |
¾Ç¼ºÁ¾¾ç |
|---|---|
![]() |
![]() |
|
¾ç¼º °áÀý¿¡´Â ³¶Á¾°ú °©»ó¼± ¼±Á¾ÀÌ ÀÖ½À´Ï´Ù. |
¾ç¼ºÁ¾¾ç°ú´Â ´Þ¸® Á¾¾çÀÌ ¼¼È÷ ¼ºÀåÇÏ¸é ¾Ç¼ºÀÏ °¡´É¼ºÀÌ ³ô½À´Ï´Ù. |







